HOME
THE CLINIC
Our Profile
Our Team
Why Dr.Sathya's?
Book Appointment
SPECIALITIES
IMPLANT CENTRE
AESTHETIC CENTRE
CONTACT
Enquiry Form
Locate Us
Book Appointment
Dental Implants -Types
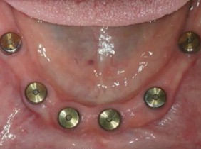
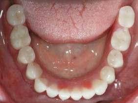
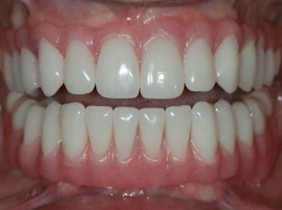
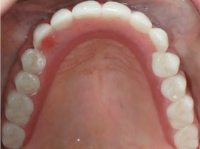
Full Mouth Implants
Immediate Loading Implants
Over denture
Case 1
Case 2
Multiple Implants
Single Implant
IMPLANT CENTRE MENU
Dental Implants
Full Mouth Implants
Immediate Loading Implants
Over denture
Multiple Implants
Single Implant
Dental Implants FAQ